昨日の言葉をいきなり裏返すわけですが,どうやらもう1問,Gram染色の問題があったようですね.
こちらも非常に実践的な内容で,嬉しい限りです.
こちらも掘り下げての解説が必要ですね.
問題概要
110F-26 臨床問題
86歳女性 左膝の痛み
押し車歩行程度のADL,右膝は変形性関節症あり
3日前からの左膝痛にて受診あり.Vitalは高熱であるが,頻脈はなし.内服薬は不明.家族歴は妹に関節リウマチ.
身体所見では左膝の発赤・腫脹・熱感・圧痛で膝蓋跳動が見られる.
採血ではCRP弱陽性.
ここで膝関節のXpあり,関節内に石灰分の沈着がある.
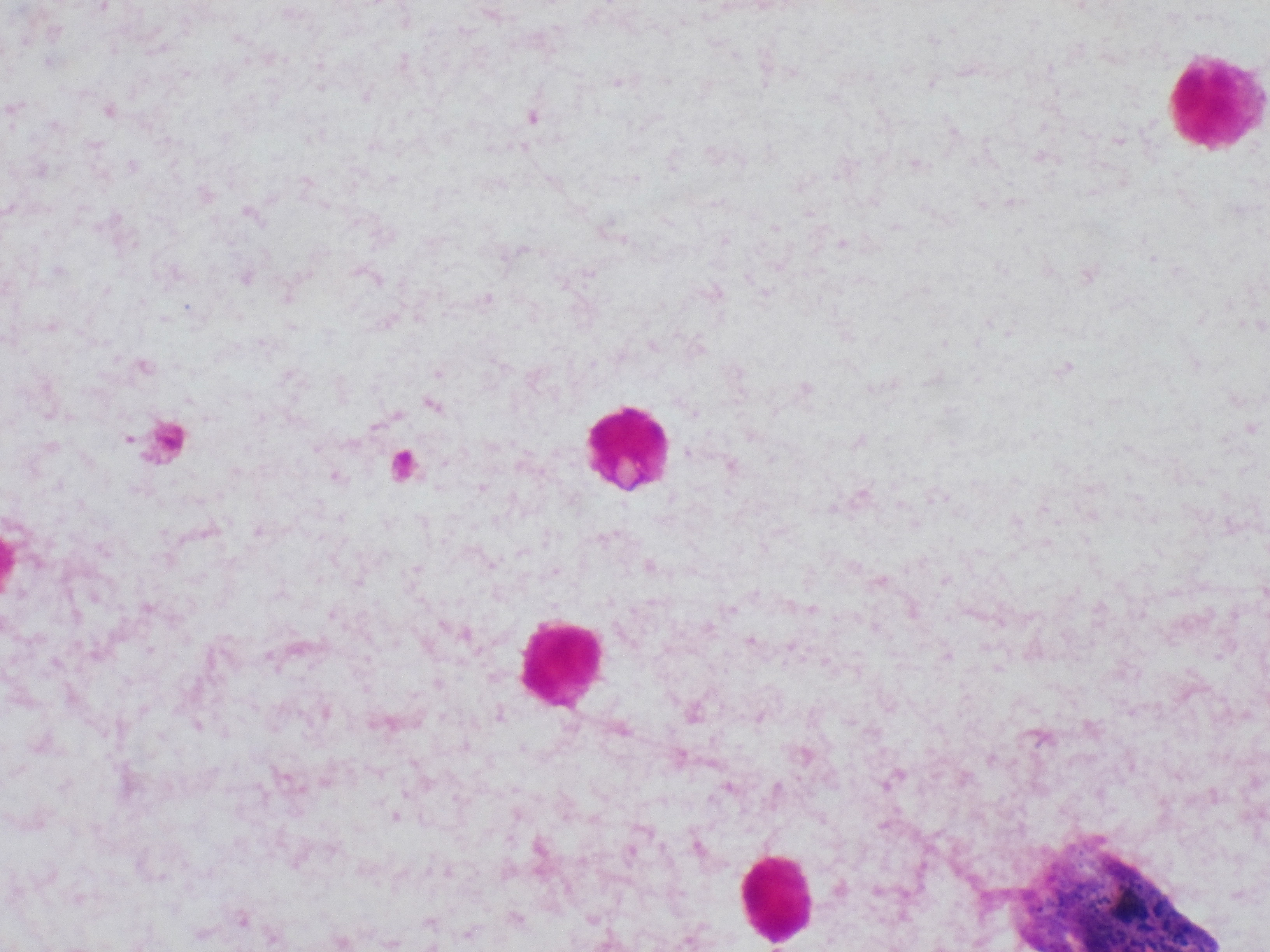
関節穿刺が施行されていて,関節液のGram染色が以下の様な写真です.
a.関節造影
b.関節MRI
c.関節鏡
d.ガリウムシンチ
e.偏光顕微鏡
多くの方が『関節の写真は過去問ででた!』と思ったのではないでしょうか.
Gram染色が出るのは始めてですが,これは偽通風.確定は E の偏光顕微鏡による結晶の確認になります.
もちろんページがあります.
近年自己炎症症候群のいち亜系ではないかとも言われる偽通風,calcium pyrophosphate dehydrate deposition disease:
高齢であることが発症のリスクですが,副甲状腺に異常などあれば50歳以下でも発症するそうです.
多くは今回のプレゼンテーションにように急性発症し,片側性の関節腫脹,発熱,(今回はCRP 2でしたが)強い炎症反応を起こします.
問題になるのが,入院中でも容赦なく発生し,なぞの院内発熱のかなりの割合を占めていることですね.(入院患者に高齢者が多いことも一因ですが)
重要な鑑別診断は間違いなく化膿性関節炎.これは急性の単関節炎で発熱を伴うというPresentationがよく一致するためです.
一般に化膿性関節炎は全身状態が悪く(Sepsisで),細胞数が多い(5万以上:WBCが『ごまんといる』で覚えましょう)ことが鑑別点になります.が,そこよりも根本的なところに
※単関節炎の診断において,関節液を採らないと話にならない
というのがこの問題最大のポイントではないでしょうか.来年度からの皆さん.
何科を目指すにしても『膝関節穿刺』は出来るようにしておきましょう.


何かあれば!
コメントを投稿するにはログインしてください。